肿瘤种类繁多,很多时候不能通过影像图像作出诊断,或需要获得病变的病理类型以进一步确定治疗方案,部分病灶的位置又无法通过内镜等检查取得病理,需要通过CT引导下进行穿刺来获得病理结果。CT的密度、空间分辨率高,可以准确显示病灶的位置,大小,形态,周围比邻组织的情况,因而可以准确引导穿刺进针。经皮穿刺活检术创口小,安全性高,花费低廉,简便易行,为患者的治疗提供了重要依据,是临床中常用的一种安全,简便,准确率高的穿刺方法,给病变的诊断提供了非常重要的依据。
肿瘤射频消融术是肿瘤消融术治疗当中最常用的一种方法,其主要的原理是利用电极头部发出的中高射频射波,使细胞内的温度超过60度,而达到破坏肿瘤细胞的目的,同时也可以使肿瘤周围的血管组织凝固形成一个反应带。而射频消融主要用于像肝,肺,肾,肾上腺骨转移癌等一些实体肿瘤,并且可以取得良好的治疗的效果,而且对于早期的肝癌和一期的非小细胞肺癌患者有较好的治疗效果,同时也是中晚期肿瘤姑息治疗的重要治疗手段。所以建议患有恶性肿瘤的患者,要听从专业医生的意见,选择规范的治疗的方案。

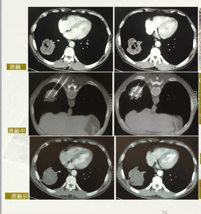
采用微波消融治疗肺癌有哪些优势?
1、微创:治疗中只用直径2mm左右的穿刺针在影像设备引导下精确进入肿瘤内,皮肤只有米粒大小的针眼,无疤痕,无缝线,避免了大手术对全身 “元气”的伤害,病人恢复快。
2、 治疗时间短,疗效确切:单发病灶≤5cm的肿瘤可一次灭活,一次治疗时间只需约10~15分钟。
3、可以进行适形消融:就是依据肿瘤的形状进行系统治疗,确保疗效,减少复发。
4. 适应证广:对于无法采用手术切除的,仍能进行微波消融治疗,尤其针对于老年患者和肺功能差的患者;可以达到缩减肿瘤、减缓疼痛、延长生命、提高生活质量等作用;对于术后复发和
转移性病灶,亦有很好的疗效。
5、可以有效联合其他治疗:病人采用微波微创消融治疗肺癌,损伤小,康复快,不伤元气,可以高效的联合放疗、 化疗、靶向药物、栓塞等,联合效果更优