近日,桓台县人民医院疼痛科成功为一名“巨大”腰间盘脱出的患者实施了椎间孔镜手术。
患者张先生,45岁,腰部扭伤后出现腰痛,右腿从臀部到脚连带着串痛,并且右脚伴有麻木症状,走、坐时疼痛更剧烈,平卧位也难以忍受,影响睡眠,口服止痛药也不见效,张先生随即到桓台县人民医院就诊。查体发现张先生腰部压痛,向右下肢放射,右腿仅能抬高30度,经磁共振检查发现腰4/5髓核脱垂近一个椎体(约3cm),压迫神经非常厉害。
疼痛科汤明主任分析,这种椎间盘脱出属于极重度脱垂,必须尽快进行手术治疗。这样的手术难度很大,若行开放手术,不仅创伤大,脱出的髓核还不容易取干净。经科室充分讨论后,1月17日为患者进行了目前最先进的椎间孔镜手术治疗,手术非常顺利,术后患者疼痛当即消失。

患者经椎间孔镜取出的髓核总长约20cm
张先生感激地说道:“本来手术之前一直很害怕,担心腰椎手术出现危险,害怕留下后遗症,没想到手术过程一点也不痛苦,而且术后效果好,手术切口不到1厘米,真的很感谢县医院的医生们。”

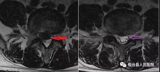
术前巨大髓核下垂,术后脱垂的髓核消失

术前:黑色区域是髓核,术后:黑色区域髓核消失
经椎间孔镜治疗后患者右下肢疼痛立即消失,抬腿活动自如
椎间孔镜优势
1、创口小:微小切口,1.5cm左右,基本不留疤痕,有“钥匙孔”之称;
2、疼痛轻:患者疼痛感小,手术采取局部麻醉,患者在清醒的状态下完成手术;
3、住院时间短:一般情况下手术后3天可下床,费用相对降低;
4、出血少:术中几乎不出血。手术视野清楚,加上采用射频等先进止血器械,有助于减少出血量;
5、不影响脊柱稳定性。
疼痛科咨询电话:0533-8228120
